Hình ảnh viêm khớp dạng thấp ở nhiều vị trí khác nhau trên cơ thể

Viêm khớp dạng thấp là một bệnh mãn tính diễn ra do rối loạn ở hệ miễn dịch và có thể dẫn đến các biến chứng nguy hiểm. Làm thế nào để nhận biết từ sớm tình trạng này? Dưới đây là những hình ảnh viêm khớp dạng thấp bạn có thể tham khảo để hiểu rõ hơn về bệnh.

Hình ảnh viêm khớp dạng thấp

Các phương pháp chẩn đoán viêm khớp dạng thấp bằng hình ảnh phổ biến

Dưới đây là những phương pháp chẩn đoán bằng hình ảnh thường được áp dụng để phát hiện và xác định mức độ nghiêm trọng của tình trạng viêm khớp dạng thấp.

1. Chụp X-quang

Chụp X-quang giúp phát hiện tình trạng mài mòn ở khớp do viêm khớp dạng thấp trong thời gian dài. Ngoài ra, hình ảnh X-quang còn giúp quan sát sự thu hẹp ở không gian khớp do sụn khớp bị thoái hóa khiến các đầu xương gần lại với nhau.

2. Siêu âm khớp

Siêu âm là phương pháp chẩn đoán hình ảnh viêm khớp dạng thấp có thể được tiến hành trong một số trường hợp giúp kiểm tra tình trạng viêm ở màng hoạt dịch, viêm bao gân để phát hiện những triệu chứng từ sớm của bệnh.

3. Cộng hưởng từ (MRI)

Chụp cộng hưởng từ (MRI) cho hình ảnh chi tiết giúp quan sát được tình trạng khớp, dây chằng, gân và các mô quanh khớp để đánh giá mức độ viêm, phát hiện sự mài mòn và thu hẹp không gian khớp để đánh giá mức độ nghiêm trọng của bệnh.

4. Chụp CT

Chụp cắt lớp CT cũng là một thủ thuật chẩn đoán hình ảnh viêm khớp dạng thấp cho phép bác sĩ quan sát hiệu quả hơn cấu trúc xương khớp và mô thông qua những hình ảnh lát cắt, từ đó xác định các tổn thương ở khớp hiệu quả hơn.

5. Chụp xạ hình xương

Chụp xạ hình xương sử dụng hình ảnh hạt nhân để kiểm tra cấu trúc xương nhằm phát hiện tình trạng viêm, nhiễm trùng khớp gây ra các cơn đau không rõ nguyên nhân. Bên cạnh chẩn đoán RA, phương pháp này còn được áp dụng phổ biến trong tầm soát một số tình trạng ung thư.

Hình ảnh viêm khớp dạng thấp nhìn bằng mắt thường

Dưới đây là những hình ảnh viêm khớp dạng thấp giúp bạn nhận biết dấu hiệu của bệnh lý này:

Hình ảnh biện dáng sụn khớp

Hình ảnh biến dạng khớp và sưng nhẹ bàn tay ở người bệnh cao tuổi mắc phải viêm khớp dạng thấp

Hình ảnh bàn tay biến dạng

Hình ảnh bàn tay bị biến dạng nghiêm trọng do viêm khớp dạng thấp của một phụ nữ 66 tuổi, có nhiều đoạn co cứng, đặc biệt là ở các khớp bàn – ngón tay. Ảnh: Verywellhealth

Hình ảnh nốt thất khớp ở chân

Sự xuất hiện của các nốt thấp khớp có hình dạng như các cục u nhỏ nằm dưới da và gần các khớp bị viêm ở bàn chân của người bệnh. Ảnh: Thefeetpeople

Biến chứng viêm mạch dạng thấp

Biến chứng viêm mạch dạng thấp ở một bệnh nhân gặp tình trạng viêm khớp dạng thấp trong thời gian dài. Ảnh: Healthline

Sưng nóng khớp chân

Tình trạng sưng và nóng đỏ khớp ở người bệnh bị viêm khớp dạng thấp với các triệu chứng tại gót chân. Ảnh: Healthline

Hình ảnh X-quang viêm khớp dạng thấp

Chụp X-quang cho thấy hình ảnh bệnh từ bên trong đồng thời kiểm tra những tổn thương, biến chứng viêm khớp dạng thấp nghiêm trọng của bệnh. Bạn có thể tham khảo một số mẫu ảnh chụp X-quang ở nhiều bộ phận của các bệnh nhân viêm khớp dạng thấp.

Biến dạng khớp ngón tay trên xquang

Những biến dạng khớp bàn tay của bệnh nhân bị viêm khớp dạng thấp, đặc biệt rõ rệt ở các khớp bàn – ngón tay. Ảnh: Radiopaedia

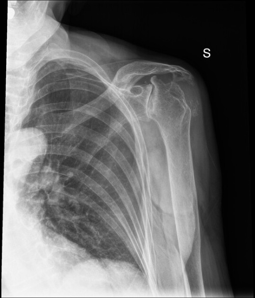
Hình ảnh X-quang khớp via

Hình ảnh X-quang khớp vai của người bệnh viêm khớp dạng thấp bị biến dạng, một phần đầu xương bị tổn thương, ổ chảo bị xói mòn, hẹp khe khớp và xương cánh tay di chuyển về phía đầu. Ảnh: Radiopaedia

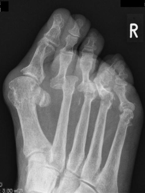
Hình ảnh X-quang ở chân

Hình ảnh X-quang cho thấy tình trạng biến dạng vẹo ngón chân và những bất thường khác, đi kèm với giảm mật độ xương ở bệnh nhân viêm khớp dạng thấp. Ảnh: Radiopaedia

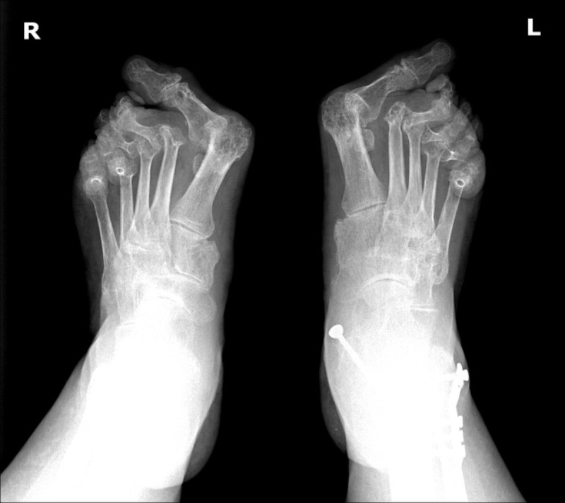
Hình ảnh Xquang ở bàn chân

Ảnh X-quang bàn chân ở một bệnh nhân nữ 55 tuổi bị viêm khớp dạng thấp với tình trạng mòn khớp, biến dạng trật khớp ở khớp đốt bàn – ngón chân. Ảnh: Radiopaedia

Hình ảnh chụp MRI viêm khớp dạng thấp

Phương pháp chụp MRI cho phép bác sĩ quan sát chi tiết hơn tình trạng khớp, dây chằng, gân và cơ quanh khớp. Các hình ảnh viêm khớp dạng thấp được thể hiện qua chụp MRI.

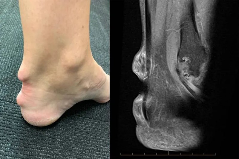
Mri nốt thấp khớp

Hình ảnh chụp MRI của một bệnh nhân gặp phải các nốt thấp khớp ở cổ chân do viêm khớp dạng thấp. Ảnh: HealthCentral

Hình ảnh mòn dọc điểm bám bao khớp

Phát hiện khớp bị mòn dọc theo điểm bám của bao khớp – dây chằng với phần thủng ở khớp vai, phì đại bao hoạt dịch khớp ở bệnh nhân viêm khớp dạng thấp. Ảnh: Radiopaedia

Viêm khớp dạng thấp ở phụ nữ 35 tuổi

Hình ảnh MRI viêm khớp dạng thấp của một phụ nữ 55 tuổi ở khớp khuỷu tay, có tình trạng phì đại màng hoạt dịch, giãn bao hoạt dịch và xuất hiệu nang hoạt dịch. Ảnh: Radiopaedia

Chụp MRi ở khớp gối

Chụp MRI ở khớp gối của bệnh nhân nữ mắc bệnh viêm khớp dạng thấp phát hiện nang Baker lớn có chứa các mô mềm không đồng nhất. Ảnh: Radiopaedia

Hình ảnh siêu âm viêm khớp dạng thấp

Phương pháp chẩn đoán hình ảnh bằng siêu âm khớp có thể được áp dụng bổ sung trong một số trường hợp để giúp bác sĩ đánh giá chính xác hơn tình trạng của người bệnh.

Hình ảnh siêu âm kiểm tra nốt thấp khớp

Hình ảnh siêu âm kiểm tra nốt thấp khớp trên bề mặt khuỷu tay ở bệnh nhân nam 38 tuổi mắc RA. Ảnh: Radiopaedia

Có thể bạn quan tâm: Cách phân biệt viêm khớp dạng thấp và bệnh thoái hóa khớp

Các phương pháp cải thiện viêm khớp dạng thấp hiệu quả

Bên cạnh việc nhận biết triệu chứng thông qua những hình ảnh của viêm khớp dạng thấp, bạn cũng có thể tham khảo ngay các biện pháp giúp cải thiện hiệu quả bệnh lý này.

1. Điều trị bằng thuốc

Người bệnh mắc bệnh ở giai đoạn đầu có thể được chỉ định sử dụng thuốc chống thấp khớp tác dụng chậm (DMARD) để cải thiện các triệu chứng và làm chậm diễn tiến của bệnh.

Bên cạnh đó, một số loại thuốc có thể được bác sĩ kê đơn để hỗ trợ quá trình điều trị như thuốc giảm đau, thuốc chống viêm không steroid (NSAID), thuốc steroid, thuốc sinh học (thuốc kháng IL-6 hay kháng TNF- alpha), thuốc ức chế JAK.

2. Thay đổi lối sống

Người bị viêm khớp dạng thấp nên chủ động duy trì chế độ ăn uống lành mạnh và bổ sung các dưỡng chất cần thiết để hỗ trợ quá trình phục hồi sức khỏe xương khớp. Những loại thực phẩm có thể bổ sung vào chế độ ăn hàng ngày là axit béo omega-3 (cá béo, dầu oliu), rau củ quả, ngũ cốc nguyên hạt, các loại hạt, gừng, trà xanh,…

Để hạn chế những tiến triển của bệnh, bạn nên duy trì lối sống lành mạnh bằng cách hạn chế các thực phẩm nhiều dầu mỡ, đồ ngọt, đồ đóng hộp; tránh dùng chất kích thích (rượu bia, thuốc lá,…); duy trì tư thế ngồi và nằm đúng để hạn chế áp lực lên khớp; tránh lao động quá sức và bê đỡ các vật nặng dẫn đến chấn thương.

3. Vận động, tập thể dục thường xuyên

Tập thể dục với cường độ phù hợp là biện pháp hỗ trợ giảm các triệu chứng viêm khớp dạng thấp hiệu quả, đồng thời tăng cường sức khỏe xương khớp. Theo khuyến cáo, bạn nên tập thể dục khoảng 30 – 60 phút mỗi ngày với các bộ môn như đi bộ, bơi lội, đạp xe, tập yoga,…

4. Thăm khám theo dõi tiến triển của bệnh thường xuyên

Hiện nay, vẫn chưa có phương pháp điều trị dứt điểm bệnh nên bên cạnh việc sử dụng thuốc, người bệnh cần tiến hành thăm khám định kỳ để theo dõi tình trạng diễn tiến của bệnh và được tư vấn các phương pháp điều trị kịp thời.

Trường hợp đã điều trị bằng thuốc nhưng người bệnh vẫn gặp các biến chứng nghiêm trọng, bác sĩ có thể chỉ định thực hiện các phẫu thuật như giải phóng ống cổ tay, giải phóng gân ở ngón tay, nội soi khớp loại bỏ mô viêm, thay khớp.

Bạn có thể thông qua những hình ảnh viêm khớp dạng thấp được chia sẻ ở trên để hiểu thêm về các triệu chứng của bệnh. Hãy thăm khám sớm nếu phát hiện các dấu hiệu bất thường ở khớp và tuân thủ chỉ định của bác sĩ, kết hợp với duy trì những thói quen sinh hoạt lành mạnh để làm chậm tiến triển của bệnh.

10:18 06/10/2025
Share Facebook Share Twitter Share Pinterest

Bài viết khác


Những thông tin, bài viết trên website Jex.com.vn chỉ dành cho mục đích tham khảo, tra cứu thông tin. Không thay thế cho việc chẩn đoán, khám và điều trị y khoa. Do đó JEX không chịu trách nhiệm về những trường hợp tự ý áp dụng mà không có chỉ định của bác sĩ