Viêm khớp ngón chân cái: Nguyên nhân, dấu hiệu và cách điều trị

Viêm khớp là một tình trạng phổ biến, thường ảnh hưởng đến các khớp lớn trong cơ thể như đầu gối, háng, cổ tay, nhưng cũng có thể xảy ra ở ngón chân cái. Tùy thuộc vào triệu chứng và nguyên nhân gây viêm khớp ngón chân cái, mà phương pháp điều trị sẽ khác nhau, nhằm giảm đau và cải thiện chất lượng cuộc sống cho người bệnh.

Viêm khớp ngón chân cái

Viêm khớp ngón chân cái là gì?

Viêm khớp ngón chân cái là tình trạng sụn trong khớp metatarsophalangeal (MTP) của ngón chân cái bị viêm, gây đau, sưng và cứng khớp. Triệu chứng phát triển dần theo thời gian và tình trạng này còn được gọi là hallux limitus hoặc hallux rigidus, tùy theo mức độ nghiêm trọng. Khớp MTP kết nối ngón chân cái với bàn chân, có vai trò quan trọng trong việc duy trì sự linh hoạt và cân bằng khi di chuyển.

Triệu chứng viêm khớp ngón chân cái thường gặp

Dưới đây là một số triệu chứng mà người bị viêm khớp ngón chân cái thường gặp.

1. Cứng khớp

Theo thời gian, viêm khớp ngón chân cái sẽ dần làm mòn lớp sụn bảo vệ giữa các khớp, gây tổn thương đến mô xung quanh và màng hoạt dịch. Sự thay đổi này dẫn đến khớp ngón chân cái bị cứng, khó di chuyển, đi lại khó khăn, thậm chí ảnh hưởng đến khả năng giữ thăng bằng của người bệnh. Hơn nữa, tình trạng này còn có thể dẫn đến biến dạng khớp.

2. Đau khớp

Đau là một trong những triệu chứng đầu tiên và rõ rệt nhất của viêm khớp ngón chân cái. Người bệnh có thể cảm thấy đau ở ngón chân cái hoặc cả bàn chân, từ đau nhức nhẹ đến cảm giác đau nhói như bị kim châm, tùy vào mức độ viêm và thoái hóa của khớp. Triệu chứng này không chỉ gây khó khăn trong việc đi lại mà còn ảnh hưởng nghiêm trọng đến cuộc sống hằng ngày, khiến việc thực hiện các hoạt động đơn giản như đi bộ, leo cầu thang cũng trở nên khó khăn.

3. Sưng khớp ngón chân cái

Bệnh viêm khớp ngón chân cái thường gây sưng tấy, kèm theo đỏ và cảm giác ấm nóng tại vị trí tổn thương. Triệu chứng này có thể trở nên rõ rệt sau khi người bệnh ngồi lâu hoặc khi vừa ngủ dậy. Ngón cái bị sưng có thể khiến người bệnh khó mang giày dép, gây ra nhiều bất tiện trong sinh hoạt hằng ngày.

4. Khó di chuyển ngón chân lên xuống

Viêm khớp ngón chân cái gây cứng khớp, khiến ngón chân cái không thể uốn cong lên xuống một cách tự nhiên. Nếu cứng khớp đi kèm sưng khớp và cảm giác đau đớn sẽ khiến việc di chuyển ngón chân cái càng khó khăn hơn.

Triệu chứng sưng viêm ở ngón chân cái

Đau, sưng và cứng khớp là các triệu chứng phổ biến của viêm khớp ngón chân cái

Tiến triển của bệnh viêm khớp ngón chân cái

Viêm khớp ngón chân cái được phân thành nhiều cấp độ, dựa trên mức độ ảnh hưởng của bệnh đến khả năng di chuyển của ngón chân cái. (1)

  • Độ 0: Khả năng di chuyển của ngón chân cái giảm từ 10 – 20%. Đây là giai đoạn đầu, có thể không gây ra nhiều triệu chứng rõ ràng.
  • Độ 1: Khả năng di chuyển giảm từ 20 – 50%. Người bệnh bắt đầu cảm thấy khó khăn khi uốn cong ngón chân cái.
  • Độ 2: Khả năng di chuyển giảm từ 50 – 75%. Ngón chân cái trở nên cứng hơn và gây ra nhiều khó khăn trong việc đi lại.
  • Độ 3: Khả năng di chuyển giảm từ 75 – 100%. Ngón chân cái gần như không thể uốn cong, gây đau đớn và ảnh hưởng nghiêm trọng đến chất lượng cuộc sống.
  • Độ 4: Khả năng di chuyển giảm từ 75 – 100% kèm theo cơn đau dữ dội khi cử động. Đây là giai đoạn nghiêm trọng nhất, cơn đau kéo dài và liên tục khi di chuyển.

Nguyên nhân gây viêm khớp ngón chân cái

Bàn chân chúng ta phải chịu một lực bằng gấp đôi trọng lượng cơ thể, vì thế viêm khớp ngón chân cái có thể đến từ nhiều nguyên nhân khác nhau. (2)

1. Viêm xương khớp

Viêm xương khớp là một trong những nguyên nhân hàng đầu gây viêm khớp ngón chân cái. Khi sụn trong khớp metatarsophalangeal (MTP) của ngón chân cái bị mòn do viêm xương khớp, xương dưới sụn bắt đầu cọ xát trực tiếp vào nhau, gây đau đớn, sưng tấy và dẫn đến viêm. Viêm xương khớp thường tiến triển chậm và các triệu chứng ngày càng nghiêm trọng theo thời gian, đòi hỏi phải có các biện pháp điều trị thích hợp để kiểm soát cơn đau và cải thiện chức năng khớp.

2. Viêm khớp vảy nến

Viêm khớp ngón chân cái cũng có thể do viêm khớp vảy nến gây ra. Đây là một dạng viêm khớp liên quan đến bệnh vảy nến, một bệnh tự miễn dịch ảnh hưởng đến da và khớp. Khi mắc viêm khớp vảy nến, hệ miễn dịch tấn công nhầm vào các mô khớp khỏe mạnh, gây viêm và tổn thương khớp.

3. Viêm khớp nhiễm khuẩn

Viêm khớp nhiễm khuẩn, hay còn gọi là viêm khớp do nhiễm trùng, xảy ra khi vi khuẩn hoặc vi sinh vật khác xâm nhập vào khớp ngón chân cái qua máu hoặc từ vết thương trực tiếp. Khi vi khuẩn gây nhiễm trùng trong khớp, chúng gây ra viêm nhiễm mạnh, dẫn đến đau đớn, sưng tấy và cứng khớp. Tình trạng này có thể tiến triển nhanh chóng và gây tổn thương nặng nề cho khớp nếu không được điều trị kịp thời. Điều trị viêm khớp nhiễm khuẩn thường sử dụng kháng sinh để loại bỏ nhiễm trùng và các biện pháp hỗ trợ khác để giảm viêm và phục hồi chức năng khớp.

4. Viêm khớp dạng thấp

Viêm khớp dạng thấp (RA) cũng là một dạng bệnh tự miễn. Viêm khớp dạng thấp khiến cho màng hoạt dịch trong khớp bị viêm. Quá trình viêm kéo dài gây tổn thương sụn và xương dưới sụn, có thể dẫn đến viêm khớp ngón chân cái. Người bệnh viêm khớp dạng thấp thường được chỉ định thuốc giảm đau, thuốc chống viêm và liệu pháp điều chỉnh miễn dịch để kiểm soát viêm và ngăn ngừa tổn thương thêm các khớp khác.

5. Thoái hóa khớp

Thoái hóa khớp là nguyên nhân phổ biến gây viêm khớp ngón chân cái, xảy ra khi sụn bảo vệ trong khớp MTP của ngón chân cái bị mòn theo thời gian. Khi sụn bị hao mòn, xương dưới sụn bắt đầu cọ xát vào nhau, lâu dần dẫn đến thoái hóa khớp.

6. Thói quen bẻ khớp

Thói quen bẻ khớp, bao gồm cả khớp ngón chân cái có thể dẫn đến viêm khớp do sự tổn thương lặp đi lặp lại trên sụn và các mô xung quanh khớp. Khi bạn bẻ khớp thường xuyên, lực tác động lên khớp lặp đi lặp lại theo thời gian có thể làm mòn sụn bảo vệ khớp, dẫn đến viêm khớp ngón chân cái.

7. Chấn thương

Khi khớp ngón chân cái bị chấn thương do té ngã, tai nạn hoặc lực tác động mạnh, khiến các mô và sụn trong khớp tổn thương có thể dẫn đến viêm và thoái hóa sụn. Chấn thương không được điều trị đúng cách cũng có thể làm tình trạng viêm khớp ngón chân cái trở nên nghiêm trọng hơn, gây ảnh hưởng đến khả năng di chuyển và chất lượng cuộc sống của người bệnh.

8. Gout

Gout là một dạng viêm khớp do sự tích tụ của acid uric trong máu, hình thành các tinh thể urat trong khớp, đặc biệt là khớp ngón chân cái. Cơn đau do gout thường xuất hiện đột ngột và dữ dội, đặc biệt vào ban đêm. Nếu không được điều trị, gout có thể dẫn đến bệnh viêm khớp ngón chân cái và gây tổn thương vĩnh viễn.

Gout gây viêm

Các bệnh lý như viêm khớp có thể gây ra viêm khớp ngón chân cái

Yếu tố làm tăng nguy cơ mắc viêm khớp ngón chân cái

Các yếu tố có thể làm tăng nguy cơ viêm khớp ngón chân cái:

  • Tuổi tác: Nguy cơ viêm khớp ngón chân cái tăng lên khi tuổi cao, đặc biệt là từ 50 tuổi trở lên do sự thoái hóa tự nhiên của sụn và mô khớp.
  • Giới tính: Phụ nữ có nguy cơ cao hơn nam giới, chủ yếu là do thay đổi hormone sau khi mãn kinh, làm giảm mật độ xương và sụn.
  • Chấn thương trước đó: Các chấn thương ở ngón chân cái có thể gây tổn thương vĩnh viễn đến sụn và khớp, dẫn đến viêm khớp ngón chân cái.
  • Di truyền: Gia đình có người mắc viêm khớp hoặc các bệnh lý về khớp khác làm tăng nguy cơ phát triển viêm khớp ngón chân.
  • Bệnh lý nền: Mắc các bệnh lý nền như gout, viêm khớp dạng thấp và bệnh tự miễn dịch khác cũng có thể dẫn đến viêm khớp ngón chân cái.
  • Thói quen và lối sống: Béo phì gây áp lực lớn lên các khớp, thiếu hoạt động thể chất làm giảm sự linh hoạt của khớp, sử dụng giày dép không phù hợp gây áp lực không đều lên ngón chân cái,… đều là những yếu tố làm tăng nguy cơ viêm khớp.

Viêm khớp ngón chân cái có nguy hiểm không?

Viêm khớp ngón chân cái không gây nguy hiểm đến tính mạng nhưng có thể gây ra nhiều trở ngại trong sinh hoạt hằng ngày nếu không được điều trị kịp thời. Tình trạng này có thể dẫn đến đau mạn tính, gây biến dạng khớp, làm giảm khả năng vận động và ảnh hưởng nghiêm trọng đến đời sống, sinh hoạt của người bệnh.

Những biến chứng viêm khớp ngón chân cái thường gặp

Bệnh viêm khớp ngón chân cái nếu không được điều trị hợp lý có thể dẫn đến các biến chứng sau:

  • Khớp ngón chân cái khó di chuyển.
  • Khả năng đi lại bị hạn chế.
  • Ảnh hưởng đến khả năng thăng bằng của cơ thể.
  • Khớp ngón chân cái có thể bị biến dạng.

Bên cạnh đó, đối với người bị bệnh gout dẫn đến viêm khớp ngón chân cái sẽ có nguy cơ gặp các biến chứng sau.

  • Tăng huyết áp
  • Bệnh thận mãn tính
  • Béo phì
  • Đái tháo đường
  • Sỏi thận
  • Nhồi máu cơ tim
  • Suy tim

Viêm khớp ngón chân cái do viêm khớp dạng thấp có thể gây ra các biến chứng:

  • Thiếu máu mãn tính và hội chứng Felty (viêm khớp dạng thấp, lách to và bạch cầu giảm).
  • Viêm mạch dạng thấp, hiếm gặp nhưng gây biến chứng nghiêm trọng.
  • Viêm màng phổi, viêm tiểu phế quản, bệnh phổi mô kẽ,…
  • Bệnh động mạch vành.
  • Nguy cơ phát triển ung thư hạch.
  • Loãng xương, nhiễm trùng, thuyên tắc huyết khối tĩnh mạch,…

Khi nào người bệnh viêm khớp ngón chân cái cần đến gặp bác sĩ?

Khi viêm khớp ngón chân cái gây đau kèm theo các triệu chứng như sốt hoặc mệt mỏi, hãy tìm đến cơ sở y tế để được chẩn đoán và điều trị kịp thời. Các dấu hiệu cần lưu ý bao gồm cơn đau kéo dài không giảm dù đã nghỉ ngơi và dùng thuốc, khớp ngón chân cái sưng, đỏ và ấm khi chạm vào, khó di chuyển ngón chân cái, khớp ngón chân cái có dấu hiệu biến dạng và các hoạt động thường nhật bị ảnh hưởng.

Chẩn đoán viêm khớp ngón chân cái

Nếu bạn gặp phải các triệu chứng của viêm khớp ngón chân cái, bác sĩ sẽ thực hiện một số bước chẩn đoán để xác định chính xác tình trạng và đưa ra phương pháp điều trị phù hợp:

  • Tiền sử bệnh và khám lâm sàng: Bác sĩ sẽ hỏi chi tiết về cơn đau, thời gian xuất hiện và các triệu chứng liên quan khác. Bác sĩ cũng sẽ kiểm tra bàn chân để nhận biết các dấu hiệu bất thường.
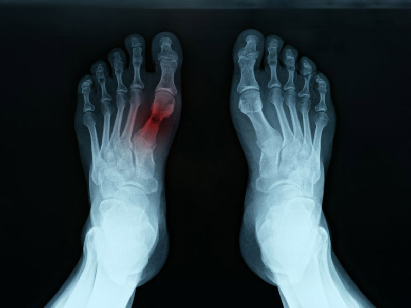
  • Chụp X-quang: Phương pháp này giúp quan sát tình trạng sụn và xương ở ngón chân cái. Người bệnh có thể được yêu cầu chụp x-quang đứng để đánh giá chính xác ảnh hưởng của trọng lượng cơ thể lên khớp chân.
  • CT-scan hoặc MRI: Trong những trường hợp phức tạp, bác sĩ có thể chỉ định chụp CT hoặc MRI để có hình ảnh chi tiết hơn về khớp và các cấu trúc lân cận, nhằm phát hiện các tổn thương mà phim x-quang không thể thấy được.
  • Xét nghiệm máu: Các xét nghiệm này sẽ giúp kiểm tra mức độ viêm, sự hiện diện của các yếu tố gây viêm khớp dạng thấp hoặc acid uric.
  • Chọc hút dịch khớp: Trong một số trường hợp, bác sĩ có thể lấy mẫu dịch khớp để kiểm tra tình trạng người bệnh có bị nhiễm trùng hay không hoặc có tinh thể acid uric trong dịch khớp.
chụp xquang phát hiện viêm khớp ở ngón chân

Chụp x quang là một trong những bước chẩn đoán viêm khớp ngón chân cái

Cách điều trị viêm khớp ngón chân cái

Có một số phương pháp thường được chỉ định trong điều trị viêm khớp ngón chân cái dựa trên tình trạng cụ thể của mỗi người bệnh.

1. Điều trị bằng thuốc

Trong những trường hợp viêm nhẹ, bác sĩ thường kê đơn thuốc giảm đau và chống viêm để giúp giảm triệu chứng. Các loại thuốc này có thể bao gồm thuốc giảm đau như paracetamol, ibuprofen hoặc các thuốc chống viêm không steroid (NSAIDs). Người bệnh nên sử dụng thuốc theo chỉ định của bác sĩ để đảm bảo hiệu quả và tránh tác dụng phụ không mong muốn.

2. Tiêm corticosteroid

Tiêm corticosteroid là một phương pháp điều trị viêm khớp ngón chân cái nhằm giảm viêm và đau trong khớp. Corticosteroid là loại thuốc chống viêm mạnh, khi tiêm trực tiếp vào khớp ngón chân cái, chúng giúp giảm viêm nhanh chóng và làm giảm triệu chứng đau. Phương pháp này thường được sử dụng khi điều trị bằng thuốc không hiệu quả hoặc khi cần giảm triệu chứng nhanh chóng.

3. Phẫu thuật

Phẫu thuật điều trị viêm khớp ngón chân cái được chỉ định khi các biện pháp điều trị khác không mang lại hiệu quả. Phẫu thuật có thể giúp cải thiện chất lượng cuộc sống và giảm đau đáng kể, nhưng cũng đi kèm với rủi ro và cần nhiều thời gian phục hồi.

Phương pháp phòng ngừa viêm khớp ngón chân cái

Khớp ngón chân cái bị viêm có thể gây tổn thương các thành phần của khớp và ảnh hưởng xấu đến sức khỏe và cuộc sống hằng ngày của người bệnh. Vì vậy, bạn nên chủ động phòng ngừa bệnh từ sớm bằng cách thiết lập những thói quen lành mạnh và thiết thực.

1. Cải thiện cân nặng

Duy trì cân nặng lý tưởng là một trong những cách hiệu quả nhất để giảm áp lực lên các khớp, bao gồm khớp ngón chân cái.

2. Hạn chế sử dụng giày cao gót

Giày cao gót gây áp lực lớn lên khớp ngón chân cái, dễ dẫn đến viêm và tổn thương. Nếu không bắt buộc phải đi giày cao gót, hãy chọn giày có đế thấp, rộng và thoải mái để giảm thiểu áp lực lên khớp ngón chân.

3. Chế độ dinh dưỡng phù hợp

Ăn uống lành mạnh và cân đối giúp cung cấp các dưỡng chất cần thiết cho xương và khớp. Hãy bổ sung thực phẩm giàu canxi, vitamin D và omega-3 để duy trì sức khỏe xương khớp. Tránh thực phẩm có hàm lượng đường và chất béo cao, có thể gây tăng cân và thúc đẩy quá trình viêm.

4. Tập thể dục thường xuyên

Thường xuyên thực hiện các bài tập như đi bộ, bơi lội hoặc yoga giúp tăng cường cơ bắp và cải thiện sự linh hoạt của khớp. Vận động điều độ không chỉ giúp giảm nguy cơ viêm khớp mà còn cải thiện sức khỏe tổng thể.

5. Đề phòng té ngã, chấn thương thể thao

Cẩn thận trong các hoạt động hằng ngày và khi tham gia thể thao để hạn chế chấn thương. Sử dụng các biện pháp bảo hộ như băng, đệm bảo vệ và thiết bị an toàn khi cần thiết để giảm nguy cơ tổn thương khớp.

6. Thăm khám thường xuyên

Khám sức khỏe định kỳ giúp phát hiện sớm các vấn đề tiềm ẩn và điều trị kịp thời, ngăn ngừa tình trạng viêm khớp ngày càng nghiêm trọng.

Viêm khớp ngón chân cái là một bệnh lý phổ biến nhưng không đe dọa tính mạng. Tuy nhiên, bệnh gây ra nhiều khó khăn trong sinh hoạt hằng ngày và có thể dẫn đến các biến chứng nghiêm trọng nếu không được điều trị kịp thời. Hãy đến gặp bác sĩ khi có dấu hiệu đau nhức kéo dài để được chẩn đoán và điều trị đúng cách, đảm bảo sức khỏe và chất lượng cuộc sống tốt nhất.

08:29 16/12/2025
Share Facebook Share Twitter Share Pinterest

Bài viết khác


Những thông tin, bài viết trên website Jex.com.vn chỉ dành cho mục đích tham khảo, tra cứu thông tin. Không thay thế cho việc chẩn đoán, khám và điều trị y khoa. Do đó JEX không chịu trách nhiệm về những trường hợp tự ý áp dụng mà không có chỉ định của bác sĩ